top of page
치료 전후사진

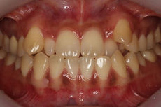
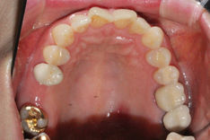
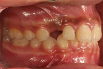
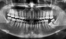
돌출 교정전

돌출 교정후

돌출 교정전


돌출 교정전

돌출 교정후

돌출 교정전


돌출 교정전

돌출 교정후

돌출 교정전

돌출 교정전

돌출 교정전

돌출 교정후

미세돌출 교정전

미세돌출 교정후

무턱 교정전

무턱 교정후

무턱 교정전

무턱 교정후

돌출입 성장조절 전

돌출입 성장조절 후

돌출입 성장조절 전

돌출입 성장조절 후

주걱턱, 거꾸로 물림

비수술 주걱턱교정

주걱턱, 거꾸로 물림

비수술 주걱턱교정

주걱턱, 거꾸로 물림

비수술 주걱턱교정

미세주걱턱, 앞니끼리 맞물림

비수술 발치교정

미세주걱턱

비수술 발치교정

주걱턱, 거꾸로 물림

주걱턱 교정(수술교정)

주걱턱, 거꾸로 물림

주걱턱 교정(수술교정)

주걱턱, 거꾸로 물림(성장기)

주걱턱 성장조절

주걱턱, 거꾸로 물림(성장기)

주걱턱 성장조절

주걱턱, 거꾸로 물림(성장기)

주걱턱 성장조절

주걱턱, 거꾸로 물림(성장기)

주걱턱 성장조절

주걱턱, 거꾸로 물림(성장기)

주걱턱 성장조절

앞니 벌어짐

앞니 공간 폐쇄 (부분교정)

앞니 벌어짐

앞니 공간 폐쇄 (부분교정)

과개교합 교정 전

과개교합 교정 후

과개교합 교정 전

과개교합 교정 후

과개교합 교정 전

과개교합 교정 후(성장기)

과개교합 교정 전

과개교합 교정 후


개방교합 교정 후

덧니교정 전(비발치)

덧니교정 후(비발치)

덧니교정 전(비발치)

덧니교정 후(비발치)

비발치 덧니교정 전(비발치)

덧니교정 후(비발치)

덧니교정 전(비발치)

덧니교정 후(비발치)

덧니교정 전(비발치)

덧니교정 후(비발치)

덧니교정 전(비발치)

덧니교정 후(비발치)

덧니교정 전(발치)

덧니교정 후(발치)

덧니교정 전(발치)

덧니교정 후(발치)

덧니교정 전(발치)

덧니교정 후(발치)

덧니교정 전(발치)

덧니교정 후(발치)

덧니교정 전(발치)

덧니교정 후(발치)

앞니 부분교정 전

앞니 부분교정 후

앞니 부분교정 전

앞니 부분교정 후

앞니 부분교정 전

앞니 부분교정 후

앞니 부분교정 전

앞니 부분교정 후


앞니 부분교정 후

앞니 부분교정 전

앞니 부분교정 후

앞니 부분교정 전

앞니 부분교정 후

앞니 부분교정 전

앞니 부분교정 후

앞니 부분교정 전

앞니 부분교정 후

앞니 부분교정 전

앞니 부분교정 후

비대칭 덧니교정 전

비대칭 덧니교정 후

비수술 비대칭 교합교정 전

비수술 비대칭 교합교정 후

정중선어긋남, 비대칭

정중선,비대칭 개선

치료 초기보이는 골격적 비대칭

비수술 비대칭 개선

치료초기 보여지는 비대칭

비대칭 개선 후

정중선 어긋남

정중선 교정

송곳니 매복

송곳니 견인 치료 후

어금니 매복

여금니 견인 치료 후

송곳니 및 어금니 매복

매복치 견인 후

외상으로 앞니 부러짐

전체적 교정치료 및 앞니 견인

심한 충치 치아 발치 후 사랑니 전방견인 (전)

심한 충치 치아 발치 후 사랑니 전방견인 (후)

하악 영구치 결손, 유치 잔존

큰 어금니 전방 견인
bottom of page




